mercoledì 23 novembre 2005

Gradenigo syndrome











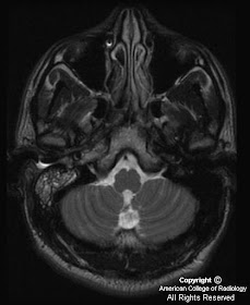
Findings

Thin section CT at the level of the right and left middle ear cavity. There is opacification of the right middle ear cavity and right mastoid air cells (Figure 1). Note that the left middle ear cavity and mastoid air cells are well aerated (Figure 2).
Thin section CT demonstrates opacification of the right petrous apex (Figure 3).
Axial SPGR and FLAIR. Low- and high-signal intensity in the right mastoid air cells and right petrous apex, respectively (Figure 4 and Figure 5).
Axial T2. Abnormal high signal in right mastoid air cells and petrous apex (Figure 6).
Post-contrast. There is enhancement within the right petrous apex and mastoid air cells (Figure 7).
Post-contrast. Image at a slightly higher level than prior image demonstrates an enhancing process with extention to the dura of the middle cranial fossa and the prepontine region (Figure 8).


Diagnosis: Gradenigo syndrome


Petrous apicitis is a rare complication of otitis media or mastoiditis, in which infection, most commonly by pseudomoas, spreads to the petrous apex. Extension of the infection into Dorello's canal, through which pass CN VI and CN V, results in abducens nerve palsy and deep facial pain, termed the Gradenigo syndrome or triad. Extradural abscess, osteomyelitis, cavernous sinus thrombosis, or meningitis can complicate matters in more severe cases. Surgery may be indicated if a focal abscess has developed and the patient is unresponsive to antibiotics.

CT findings include opacification of the ipsilateral mastoid air cells and bony erosion of the petrous apex. Apicitis generally does not enhance, however, cavernous sinus enhancement may be seen. Typical MR findings of acute apicitis include low T1 signal and high T2 signal with rim enhancement. Chronic cases show high T2 signal with variable enhancement. Differential considerations include malignancies such as epidermoid tumors and metastatic disease. Other lesions of the petrous apex include cholesterol granuloma, cholesteatoma, eosinophilic granuloma, chordoma, and meningioma; however, each of these entities demonstrates unique imaging characteristics. The radiographic findings of petrous apicitis in the appropriate clinical context are diagnostic.

Nessun commento:

Posta un commento