giovedì 19 luglio 2007

Juvenile angiofibroma







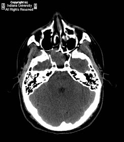
Findings

CT shows a soft tissue mass extending from pterygopalatine fissure into sphenoid sinus with some erosion and expansion of adjacent bony structures. Angiography shows a major hyper vascular tumor supplied by sphenopalatine branch of right internal maxillary artery, without ascending pharyngeal artery supply. Minimal tumor blood supply from sphenopalatine branch of left internal maxillary artery. Super selective embolization of left and right sphenopalatine arteries was performed using Echelon-14 micro catheter and RVA particles (150-250 microns).


Diagnosis: Juvenile angiofibroma


Key points

Epidemiology:
- 1 of every 5,000-6,000 otolaryngological admissions.
- Approximately 0.5% of all head and neck neoplasms.
- Occurs exclusively in adolescent males.

Pathophysiology:
- Highly vascular tumors, locally invasive, non-encapsulated tumors.
- Usually arise at posterior attachment of middle turbinate, near the sphenopalatine foramen.
- Superior growth occurs towards sphenoid sinus, with erosion possible. Invasion into cavernous sinus may also occur.

Clinical:
- Symptoms: epistaxis (45-60%), nasal obstruction (80-90%), headache (25%), facial swelling (10-18%).

Treatment:
- Definitive therapy is usually surgical, with pre-operative embolization to control intraoperative bleeding.
- Hormonal therapy (with testosterone blockers) and radiotherapy have been tried with mixed results.


Radiologic overview

Usually suspected via findings on CT, but angiography used for definitive diagnosis and possible embolization prior to definitive surgery.
Most suggestive finding is a homogenous, nasopharyngeal soft tissue mass causing expansion of the nasal cavity, sometimes with septal deviation, and extending into the pterygopalatine fossa and sphenoid sinus.
Often see anterior bowing of the posterior wall of the ipsilateral maxillary sinus, but rarely with breakthrough into the antrum. Conversely, the tumor often extends superiorly with erosion into the sphenoid sinus, and possibly with extension into the cavernous sinus.
Angiography: 94% of the time, primary feeder system comes from branches of the external carotid system (usually from maxillary artery, but may also include ascending pharyngeal or vidian arteries).

Nessun commento:

Posta un commento