mercoledì 7 maggio 2008

Wallerian degeneration








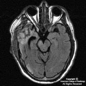
Findings

Figure 1: Noncontrast brain CT demonstrates a "dense MCA sign" in the M1 segment with loss of grey-white differentiation involving a large portion of the MCA territory.
Figure 2, Figure 3, Figure 4, and Figure 5 : T2-weighted FLAIR images obtained 60 days after the initial infarct demonstrate decrease in cytotoxic edema, evolution of intraparenchymal hemorrhage, and ex vacuo dilatation of the right lateral ventricle. Following the right corticospinal tract caudally, there is increased T2 signal to the level of the pons representing gliosis as well as atrophy of the cerebral peduncle, compatible with Wallerian degeneration.


Diagnosis: Wallerian degeneration


Wallerian degeneration is antegrade destruction of axons and myelin sheaths following damage to the proximal portion of the axon or the cell body. The most common cause of Wallerian degeneration in the brain is infarction. Other causes include hemorrhage, trauma, neoplasm, and white matter disease. Dead tissue is phagocytized with resultant gliosis throughout the affected white matter tract, which can be visualized as hyperintensity on FLAIR sequences. There is no enhancement after contrast administration. Wallerian degeneration can be demonstrated 2-6 months after the initial insult, often as an atrophied cerebral peduncle with increased T2 signal along the involved corticospinal tract.

Wallerian degeneration of the corticospinal tract (or pyramidal tract) indicates severe damage and thus marked motor function impairment. It has been shown that progressive Wallerian degeneration as demonstrated on MRI is associated with persistent moderate to severe hemiparesis.

1 commento:

  1. Hiv disease for the last 3 years and had pain hard to eat and cough are nightmares,especially the first year At this stage, the immune system is severely weakened, and the risk of contracting opportunistic infections is much greater. However, not everyone with HIV will go on to develop AIDS. The earlier you receive treatment, the better your outcome will be.I started taking ARV to avoid early death but I had faith in God that i would be healed someday.As a Hiv patent we are advise to be taking antiretroviral treatments to reduce our chance of transmitting the virus to others , few weeks ago i came on search on the internet if i could get any information on Hiv treatment with herbal medicine, on my search i saw a testimony of someone who has been healed from Hiv her name was Achima Abelard and other Herpes Virus patent Tasha Moore also giving testimony about this same man,Called Dr Itua Herbal Center.I was moved by the testimony and i contacted him by his Email.drituaherbalcenter@gmail.com OR info@drituaherbalcenter.com. We chatted and he send me a bottle of herbal medicine I drank it as he instructed me to.After drinking it he ask me to go for a test that how i ended my suffering life of Hiv patent,I'm cured and free of Arv Pills.I'm forever grateful to him Drituaherbalcenter.Here his contact Number +2348149277967...He assure me he can cure the following disease..Hiv,Cancer,Herpes Virus,Hpv,Pile,Weak Erection,Lyme Disease,Epilepsy,Glaucoma.,Brain Tumor,psoriasis, Cataracts,Macular degeneration,Cardiovascular disease,Chronic Diarrhea,Lung disease.Enlarged prostate,Osteoporosis.Alzheimer's disease,
    Dementia. ,Bladder Cancer,Autism,Colorectal Cancer,Breast Cancer,Kidney Cancer,Leukemia,Lung Cancer,Tay tach disease,Non Hodgkin Lymphoma,Skin Cancer,Lupus,Uterine Cancer,Prostate Cancer, Seizures, fibromyalgia ,ALS,Hepatitis,Copd,Parkinson disease.Genetic disease,Fibrodysplasia disease,Fibrodysplasia Ossificans Progressiva,Fluoroquinolone Toxicity Syndrome,Stroke,Hpv,Weak Erection,Liver/Kidney Inflammatory,Men/Woman infertility, bowel disease ,Huntington's disease ,Diabetes,Fibroid.

    RispondiElimina