martedì 13 gennaio 2009

Subacute combined degeneration of the spinal cord







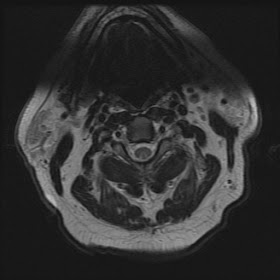
Findings

Axial T2 images of cervical cord shows increased T2 signal in both dorsal columns in the form of "inverted rabbit ears". Sagittal T2 images confirm increased T2 signal in the dorsal aspect of the cord corresponding to the location of the dorsal columns. Sagittal T1 with contrast shows no abnormal enhancement of the dorsal columns.

Differential Diagnosis:
- Infectious myelitis such as HIV
- Post infectious myelitis (ADEM)
- Multiple sclerosis
- Copper deficiency

Pathologic correlation: Laboratory testing revealed macrocytic anemia with low serum B12 and normal folate levels. No Intrinsic factor antibodies. Patient clinically improved with subsequent B12 therapy.


Diagnosis: Subacute combined degeneration of the spinal cord from Vitamin B12 deficiency


Discussion

Subacute combined degeneration (SCD) is a reversible cervical myelopathy caused by B12 (cobalamin) deficiency. Findings occur predominantly within the dorsal columns of the lower cervical and upper thoracic spinal cord. The corticospinal and lateral spinothalamic tracts are less commonly involved. B12 deficiency results in macrocytic anemia and neuropsychiatric manifestations including paresthesias, alterations in proprioception, myelopathy, cognitive and behavioral changes.

B12 is a required coenzyme for DNA synthesis and myelination of neurons. Deficiency of the vitamin causes accumulation of methylmalonic acid which is myelin toxic, leading to the neurological manifestations of SCD.

B12 deficiency can be multifactorial although pernicious anemia is the most common etiology. Other causes include malabsorption syndromes, chronic pancreatitis, bacterial over growth, large segment ileal resection, tropical sprue, Dyphillobothrium latum (fish tapeworm) infestation, strict vegetarian diet and rarely from anesthetics.

Nitrous oxide (NO), historically known as "laughing gas" due to the euphoric effects incurred by inhaling the chemical, is found in a popular recreational drug known as "Whippets". NO is also used as an anesthetic agent for surgical procedures. NO has the propensity to inactivate B12 by oxidation precipitating subacute combined degeneration in patients with low or borderline B12 stores.


Imaging

Radiological diagnosis of cervical myelopathy is based on the characteristic symmetrical T2 hyperintensity involving the dorsal columns seen as an " inverted V" or "inverted rabbit ears" on the axial plane. Variable contrast enhancement has been described. Although the findings are typical, SCD is a clinical diagnosis.


Nessun commento:

Posta un commento