martedì 17 marzo 2009

Retinoblastoma





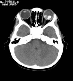
Findings

Large calcified mass in the left lobe optic globe posteriorly in contact with the optic nerve. Left optic globe size near symmetric with the right.

Differential diagnosis:
- Retinoblastoma
- Persistent hyperplastic primary vitreous
- Coat's disease
- Toxocara infection
- Phthisis bulbi


Diagnosis: Retinoblastoma


Discussion

Retinoblastoma arises from a cell of neuroepithelial origin, usually in the posterior retina. It is the most common malignant eye tumor of childhood and is responsible for 1% of all deaths from cancer in the age group of newborns to 15 years. Retinoblastoma can be multifocal and bilateral (30%); it undergoes spontaneous regression more frequently than other tumors; has a high incidence of second primary tumors; and occurs as a congenital tumor.

Retinoblastoma affects all racial groups. It occurs in approximately 1:15,000 to 1:34,000 live births. The majority of cases are diagnosed before the age of four and the incidence declines with age. It affects males and females with equal frequency.

Retinoblastoma occurs in both familial (40%) and sporadic (60%) patterns. Familial cases typically develop multiple and bilateral tumors, although they may be unifocal and unilateral. Sporadic cases are always unilateral and unifocal.

Retinoblastoma serves as prototype for a group of cancers caused by recessive loss of suppressor cancer genes. These include osteosarcoma, Wilm's tumor, hepatoblastoma, rhabdomyosarcoma, uveal melanoma, bladder cell carcinoma, acoustic neuroma, and meningioma. Retinoblastoma and osteosarcoma arise after the loss of the same genetic locus (13q14 band).

Tumor cells may disseminate through the choroidal vasculature or may spread beyond the eye through the optic nerve or subarachnoid space. In advance cases, the tumor may penetrate through the sclera and grow in the orbit. Metastases to the preauricular and cervical lymph nodes commonly follow over extraocular extension. The most common sites of distant metastases are the CNS, skull, distant bones, and lymph nodes. Spontaneous regression occurs in 1% of cases.


Diagnosis

The diagnosis is usually made before age 2 when a white reflex from the pupil ("cat's eye") or leukokoria, strabismus, or eye pain is investigated. Ophthalmoscopy and CT scans are helpful.


Therapy

If diagnosed when the tumor is intraocular, >90% can be cured. Enucleation and removal of as much optic nerve as possible usually manage unilateral cases. In asymmetric bilateral cases, the more involved eye is enucleated and the other eye is treated by photocoagulation, cryotherapy, radiation, and systemic antimetabolites- often in combination. Spinal fluid and bone marrow aspirated should be examined for metastases. Family members should be examined.


Radiology

CT demonstrates a solid retrolental hyperdense mass with associated retinal detachment. Associated findings include extraocular extension, optic nerve enlargement, and partial or complete calcification. Calcification is commonly seen and is a good prognostic indicator; contrast enhancement is a poor prognostic indicator.

Nessun commento:

Posta un commento