giovedì 14 maggio 2009

CNS dermoid











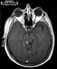
Findings

Along the posterior aspect of the midbrain there is exophytic focus of hyper intense T1 and heterogeneously hyper intense T2 signal which is heterogeneously hypo intense on T2 with fat suppression. This small mass heterogeneously enhances on T1.

Differential diagnosis:
- Dermoid
- Lipoma


Diagnosis: CNS dermoid.


Key points: Inclusion tumors (epidermoid and dermoid)

Congenital tumors resulting from abnormal incorporation of ectodermal elements during neural tube closure
Benign
Not neoplastic
Slow-growing
1% of intracranial tumors
Epidermoid 7x more common than dermoid


Epidermoid (cholesteatoma)
- Histopathology: Squamous epithelium, keratin, cholesterol
- No fat or calcification
- Cystic lesion filled with accumulating desquamated epithelium and cholesterol
- Typically conforms to enclosing space and surrounds structures
- Occasionally has mass-effect
- Less complex and thinner wall than dermoid
- Rupture is rare
- Location—off midline, most commonly at CPA (cerebellopontine angle)
- Imaging:
No contrast enhancement
Follows CSF on CT and MR but bright on FLAIR and diffusion
Differential diagnosis: arachnoid cyst


Dermoid
- Histopathology: Epidermoid + hair, fat, and sweat glands, calcification common, with arc-like calcification in 20%
- Contains ectoderm + dermal appendages (hair, sebaceous/sweat glands/secretions, desquamated keratinized epithelium)
- Predominantly fatty
- More complex and thicker wall than epidermoid
- Associated with dermal sinus tracts
- Rupture
Into subarachnoid space
Causes serious, potentially fatal, chemical meningitis (with vasospasm)
Larger lesions have higher rupture rate
- Location—midline, most commonly in spinal canal
- Imaging
Enhances if infected and especially with meningitis following rupture
Mimics fat on CT and MR with heterogeneity secondary to soft tissue
Differential diagnosis: lipoma

Nessun commento:

Posta un commento