lunedì 29 agosto 2005

Grade III IVH






Findings

Coronal plane through frontal horns. Echogenic structures are seen on both sides, just posterior to the frontal horns. An arrowhead points to the echogenic material on the left which may either be in the subependymal area or within the ventricle. Orthogonal parasagittal or transcranial axial views may help differentiate between these possibilities. An arrow points to echogenic material, probably a clot in the temporal tip.
Coronal plane through lateral ventricles. A more posteriorly angulated view than Fig 1 shows the right and left lateral ventricles filled with heterogeneous material. This material consists both of homogeneously echogenic choroid and echopenic, and therefore subacute, clot. Acute clot is homogeneously echogenic similar to normal choroid plexus. Choroid plexus, however, is not seen anteriorly in the frontal horns, ie, anterior to the foramen of Munro.
Parasagittal plane through right lateral ventricle. The orthogonal view helps prove the clot is within a dilated lateral ventricle consistent with a Grade III hemorrhage. An arrowhead points to homogenous echogenic choroids inferior to the clot and not seen extending anterior to the foramen of Munro area, which can be estimated at about midthalamus. In addition, color Doppler can show vascular flow in normal choroid plexus but not in clot.


Diagnosis: Grade III IVH


Premature neonates, particularly those less than 1500 grams or less than 32 weeks gestational age, are at risk for subependymal and intraventricular hemorrhage. Essentially all these hemorrhages develop from bleeding from single-cell thick vessels in the subependymal area of the brain found between the head of the caudate nucleus and thalamus.

A number of years ago, Papille et al created a grading system for hemorrhages that has its proponents and detractors. It however remains an adequate method of communicating areas involved by intracranial subependymal hemorrhage.

Grade I hemorrhage consists of hemorrhage within the subependymal area. Older or resolved Grade I hemorrhages may be imaged as cysts in the subependymal area. This is not the only reason for the development of subependymal cysts.
Grade II hemorrhages extend from the subependymal area into the lateral ventricle with little, if any, ventricular dilatation.
Grade III hemorrhage is intraventricular hemorrhage with dilatation of the involved lateral ventricle.
Grade IV hemorrhages were once thought of as extensions of Grade III hemorrhages into the surrounding brain parenchyma.

In the late 1980s Volpe, noting a difference in timing for the development of echogenic, cystic, or mixed echogenicity areas in the brain compared to the earlier presence by 1-2 days of clot in the ventricle suggested that the intraparenchymal portion of the Grade IV IVH was due to associated venous infarction.
Patients with Grade I and II hemorrhages usually do well clinically. The results for more severe Grade III and IV hemorrhages is less good.

venerdì 19 agosto 2005

Giant parietal foramina






Findings

Scout view (lateral view) from a CT scan reveals a large, well-defined parietal calvarial defect.
Brain and bone windows demonstrate bilateral parietal large and symmetric rounded calvarial defects (Figures 2 and 3).
3D surface-shaded reconstructed CT shows to better advantage the 3D characteristics of the calvarial defects and also reveals sagittal and coronal suture synostosis.


Diagnosis: Giant parietal foramina


Giant parietal foramina (GPF) are also known as foramina parietalia permagna, fenestrae parietals symmetricae, enlarged parietal foramina, Catlin marks, and cranium bifidum. GPF is associated with cerebral venous and cortical anomalies, gentic syndromes, and gene mutations. GPS can be an isolated entity, or be inherited in an autosomal dominant fashion. Gene mutations have been linked to both GPS and craniosynostosis. The calvarial defects can be repaired by bone grafts and mesh plating systems in patients at risk for injury to protect the underlying brain from trauma.

There is essentially no differential diagnosis for giant parietal formaina if a good clinical history is obtained (no prior craniectomy, trauma, soft tissue mass associated with the defects, etc). This case illustrates the importance of recognizing the entity of giant parietal foramina. The radiologist should be aware of possible associated intracranial abnormalities such as cortical/cerebral venous anomalies that would be amenable to MRI, MRV, or CTV workup; 3D CT can be very helpful if there is any contemplation of surgical repair.

martedì 2 agosto 2005

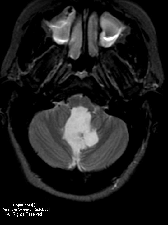
Epidermoid









Findings

Figure 1 (T1 axial) and Figure 2 (T1 post-gadolinium contrast): Lesion is slightly hyperintense to but near CSF intensity. It arises inferior to the fourth ventricle with mass effect on the adjacent cerebellum and brainstem and encroaches on the foramen magnum. Post-contrast imaging of the mass demonstrates no appreciable enhancement.
Figure 3 (T2 axial): The lesion is hyperintense on T2-weighted imaging and is of CSF intensity.
Figure 4 and Figure 5 (FLAIR): The lesion shows some mixed signal on FLAIR imaging.
Figure 6 The lesion demonstrates restricted diffusion on diffusion-weighted imaging.


Diagnosis: Epidermoid


Epidermoids compose approximately 0.2%-1.8% of all intracranial tumors. Epidermoid is a congenital CSF-like mass that is also known as a congenital epidermal inclusion cyst. This mass of epithelium arises from inclusion of ectodermal rest cells during neural tube closure at the third to fifth week of embryogenesis. They are slow-growing, well-circumscribed, smooth or lobulated lesions. Histologically, they have an internal layer of stratified squamous epithelium with a whitish fibrous capsule; given these features, epidermoids are often called a pearly tumor. Keratin and cholesterol crystals are identified within them.

Epidermoids grow slowly, and do not present until ages 20-60, peak age 40, in men and women equally. They typically present with headache or neuropathy (cranial nerves V, VII, VIII most commonly involved), and symptoms depend upon location. Most present in an intradural location, and almost half present in the cerebellopontine angle (40%-50%). Epidermoids are the third most common cerebellopontine angle mass after vestibular schwannoma and meningioma. As in this case, epidermoids may present around the fourth ventricle (17%). They may also present in the parasellar/middle cranial fossa (10%-15%), and 10% may present in an extradural location within the skull or spine.

On CT, epidermoids are typically low density and expand to fill the CSF space, insinuating around normal brain structures and appearing similar to arachnoid cysts. Epidermoids demonstrate variable appearance on T1-weighted imaging, based upon protein and lipid content, and they do not enhance after contrast administration.

Since epidermoids, like arachnoid cysts, may be similar to CSF signal on T1- and T2-weighted imaging, diffusion imaging is useful to differentiate these entities. Since arachnoid cyst contains CSF, and CSF does not present restriction to the diffusion in any direction, arachnoid cyst is dark on diffusion. In contrast, since epidermoids (like cholesteatomas) are composed of epithelial cells that grow in layers in an organized spatial organization, they present with markedly restricted diffusion and bright signal on diffusion. In addition, epidermoids are characteristically brighter on FLAIR imaging because of incomplete nulling to suggest a solid tumor (arachnoid cysts are dark like CSF).

Treatment includes microsurgical resection. Since epidermoids often insinuate through adjacent normal brain structures, surgery is often complicated and recurrence is common if the mass is not completely removed. Subarachnoid dissemination of contents and malignant degeneration to squamous cell carcinoma are rare.