giovedì 15 gennaio 2009

Pott’s puffy tumor






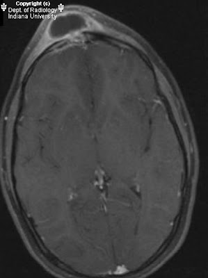
Findings

There is loculated fluid within the right frontal sinus with thick, nodular peripheral enhancement. This is associated with cortical disruption of both the outer and inner table table of the right frontal bone. There is mild thickening and asymmetric enhancement of the subjacent dura without discrete intracranial fluid collection is seen. Extracranially the right frontal sinus is contiguous with a scalp fluid collection, also demonstrating peripheral enhancement with mild induration in the adjacent subcutaneous tissues.


Diagnosis: Pott’s puffy tumor (frontal sinusitis, osteomyelitis, abscess)


Key points

First described by Sir Percival Pott in 1760.
A complication (triad) of bacterial frontal sinusitis with frontal bone osteomyelitis and resultant overlying scalp abscess.
Occasionally may be complicated by intracranial infection: Subdural or epidural abscess, even brain abscess.
Age: 10-20 years.
Pathogens: H.influenza, Klebsiella, Strep, Staph.
Condition now exceedingly rare in the post-antibiotic era.


Radiologic overview

Frontal sinus opacification, destruction of inner and/or outer table of bone, soft tissue mass/fluid collection (abscess) in scalp tissues or in extra-axial space.

MRI:
- T2: Sinus hyperintensity.
- T1: Disruption of inner/outer tables of frontal bone.
- T1+C:
Rim-enhancing fluid collection in superficial scalp.
Key in characterizing intracranial involvement, i.e., underlying dural enhancement / enhancing extra-axial collection.

Surgical emergencies include:
- Epidural abscess – lentiform shape, cannot cross sutures, may cross falx.
- Subdural abscess – crescentic shape, may cross sutures, cannot cross falx

Nessun commento:

Posta un commento